Informazioni legali e Privacy
Il Bruxismo, secondo la definizione dell’International Consensus J. Oral Rehabil. 2013, è un’attività stereotipata dei muscoli masticatori caratterizzata dal serramento o dal digrignamento dei denti e/o mantenimento della mandibola in posizione fissa con i muscoli in tensione:
Il bruxismo ha due distinte manifestazioni circadiane:
può manifestarsi durante il sonno (sleep bruxism o bruxismo del sonno) o durante lo stato di veglia (awake bruxism o bruxismo della veglia) ossia un’attività dei muscoli masticatori durante la veglia caratterizzata da serramento o contatto dentale e/o da tensione o spinta della mandibola ripetitiva o sostenuta.
Nonostante la notevole incidenza nella popolazione mondiale, resta tuttavia poco conosciuto e spesso privo di giusta rilevanza.
Ha una prevalenza del 30% tra la popolazione adulta, con una maggiore incidenza nel sesso femminile.
Studi piuttosto recenti (2013 - 2015) hanno evidenziato che il bruxismo della veglia è più dannoso di quello del sonno e che sarebbe il più grande fattore di rischio per la comparsa di Disturbi Temporo-Mandibolari. In effetti, questi studi hanno messo in luce che il serramento dei denti durante il giorno era quasi 6 volte più frequente del bruxismo del sonno nei pazienti con dolore all'ATM e ai muscoli masticatori (principalmente la regione temporale).
Come suggerisce il nome, il bruxismo del sonno si manifesta quando una persona dorme, mentre il bruxismo della veglia si verifica quando è sveglia.
Il bruxismo del sonno è considerato dall’ ASDA (American Sleep Disorders Association) il terzo più diffuso disturbo del sonno dopo il russamento e il sonniloquio. L’attività dei muscoli masticatori durante il sonno avviene nel 60% della popolazione adulta ed è considerata, entro certi limiti, fisiologica. Un aumento della frequenza, durata, intensità di tale attività muscolare configura il quadro del bruxismo del sonno. Le cause possono essere molteplici e spesso correlate con aspetti neurologici e psicologici risultando spesso associato con altri fenomeni presenti durante il sonno. Si è potuto constatare che i soggetti che presentano fenomeni di apnee notturne, reflusso gastroesofageo, disturbi d’ansia, o che assumono taluni farmaci cha hanno azione sul SNC, presentano una maggiore probabilità di bruxismo del sonno.
Da un punto di vista clinico, la differenza più evidente è il fatto che nel primo caso si ha prevalentemente un digrignamento dei denti rispetto al serramento mentre nel bruxismo della veglia prevale soprattutto il serramento dei denti oppure semplicemente una contrazione dei muscoli del viso anche senza il contatto dei denti. Cioè, si può essere "bruxista" senza che i denti entrino in contatto.
Inoltre, il bruxismo della veglia è associato a contrazioni più prolungate dei muscoli della masticazione, e in tal modo il paziente rimane per lunghi periodi appoggiando i denti o contraendo i muscoli del viso. Questo di solito accade in periodi di stress, tensione o quando è necessario concentrarsi, come studiare o usare il computer, etc… Alcuni studi più recenti associano anche il bruxismo della veglia a un'abitudine indipendente, autonoma e inconscia che non dipende da stimoli esterni ed è ormai considerato a tutti gli effetti un disturbo psico-somatico mentre le cause di tipo meccanicistico focalizzate sull’occlusione dentale hanno perso importanza perchè non supportate da sufficienti evidenze scientifiche.
Il notevole sovraccarico dei muscoli masticatori si traduce clinicamente spesso in cefalea muscolo-tensiva, dolore orofacciale, cervicalgia con conseguente alterazione della postura della testa e del rachide cervicale.
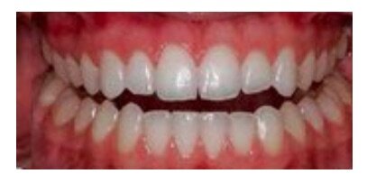
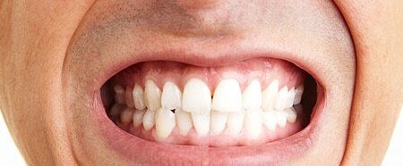
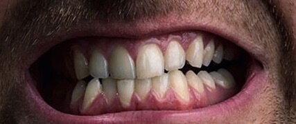
Il segno più evidente, soprattutto per il bruxismo del sonno è sicuramente rappresentato dalla notevole usura dentale, che può essere accompagnata da un’aumentata sensibilità o mobilità dentale fino ad arrivare nei casi estremi, alla frattura di elementi dentari o di una protesi.
Nel caso di bruxismo della veglia si ha un maggiore effetto di sovraccarico pressorio a livello delle articolazioni temporo-mandibolari, che diventano con il passare del tempo infiammate e dolenti. A ciò conseguono, durante i movimenti mandibolari, rumori (schiocchi o sfregamento) oltre a possibili limitazioni dell’apertura della bocca o blocchi articolari. Possono essere inoltre lamentati dal paziente, ronzii e fischi alle orecchie (acufeni), dato lo stretto rapporto con l’apparato uditivo.
Recenti revisioni della letteratura hanno evidenziato che gli aspetti relativi alle interferenze occlusali non hanno alcuna valenza nella genesi di questo fenomeno che invece appare essere sempre più legato ad alterazioni del sistema centrale dopaminergico, dovuto spesso ad un aumento della tensione emotiva. Sempre più numerosi sono stati gli studi sperimentali che hanno evidenziato un’associazione significativa con disturbi d’ ansia, dell’umore e del comportamento alimentare. Da una recente indagine sperimentale si è potuto dimostrare una diretta correlazione tra lo stato psicologico del soggetto e le parafunzioni, attribuendo allo stress un ruolo di cofattore eziologico delle para-funzioni stesse, nonché di fattore di rischio dei disordini cranio mandibolari.
A livello neurofisiologico possiamo schematizzare come lo stato emozionale dell’individuo sia controllato dall’ipotalamo, dal sistema reticolare e soprattutto dal sistema limbico. L’influenza di questi centri pare che si attui attraverso un’iperstimolazione del nucleo motorio del nervo trigemino con conseguente attivazione delle fibre fuso-motorie, che determinano la contrazione delle fibre muscolari intrafusali. I fusi vengono così sensibilizzati a tal punto che i muscoli possono venir contratti di riflesso in seguito a qualsiasi minimo allungamento muscolare. Si determina così un’iperattività muscolare che, nei casi di particolare tensione emotiva, può portare al digrignamento o serramento dei denti. Viene descritta una iperstimolazione del nucleo motorio del nervo trigemino.
Secondo alcuni autori lo stress rappresenta un aumento di energia che, una volta prodotta dal nostro organismo, deve essere rilasciata assolutamente. Le modalità di rilascio sono due: la prima è esterna e avviene tramite urla, imprecazioni, agitazioni, scagliando oggetti o qualsiasi altra manifestazione violenta (tipo gli scatti di ira); nonostante siano molto sgradevoli, queste modalità sono probabilmente le più sane. Il secondo tipo di rilasciamento dell’energia è interno: si possono manifestare allora ulcera gastrica, ipertensione, asma, disturbi cardiaci, cefalee e anche attività muscolari parafunzionali come il bruxismo . È stato dimostrato che quest’ultimo tipo di rilasciamento dello stress è di gran lunga il più comune.
Oltre ad essere legato a disordini psichiatrici e neurologici più importanti (Morbo di Parkinson, epilessia, la distonia oromandibolare, la malattia di Huntington..), il bruxismo può essere secondario ad alcuni farmaci antidepressivi, anfetamine, ma anche all’ abuso di caffeina e alcolici .
I muscoli si ritrovano in uno stato di contrattura isometrica e isotonica con conseguente irrigidimento ma senza nessun contatto dentale.
Ne consegue un notevole affaticamento muscolare con sovraccarico abnorme sulle Articolazioni Temporo-Mandibolari.
Bisogna tenere conto che in condizioni normali i denti si dovrebbero toccare solo quando si deglutisce; questo significherebbe quindi che i denti vengono in contatto tra di loro non più di una mezz’ora al giorno. Per tutto il resto della giornata in condizioni fisiologiche le due arcate dentarie si trovano con i denti non a contatto e con uno spazio libero tra loro variabile da 1 a 3 mm circa. Nei casi più gravi di bruxismo, invece, i denti arrivano a stare in contatto fino a 8-10 ore su 24 con tutte le conseguenze che ne derivano.
I denti delle due arcate si ritrovano stretti in forte contatto senza alcun movimento di scivolamento con un elevato e dannoso sovraccarico sia muscolare che articolare.In taluni casi il serramento avviene, sempre in modo statico, con una posizione di occlusione dentale eccentrica
I denti delle due arcate si ritrovano a contatto tra loro ed eseguono spasmodici movimenti di sfregamento in varie direzioni causando alla lunga una usura delle superfici di contatto.
ll bruxismo può essere lieve e non richiedere trattamento, oppure può essere grave e intenso e portare a disturbi articolari e muscolari, mal di testa, dolori al collo, ronzio nelle orecchie, creare danni fino a portare alla perdita dei denti. È normale che la persona con bruxismo del sonno si accorga di avere questo disturbo solo quando si verifica una complicanza più grave (come ad es.un dente rotto) o quando la persona che dorme accanto a lui si lamenta di sentire "rumori durante il sonno”.
Viene definita “parafunzione” in quanto non ha nulla a che fare con quelle che sono le fisiologiche funzioni dell’apparato stomatognatico. E alla stessa stregua di altre abitudini che fanno parte della vita di tutti i giorni come masticare gomme, mangiarsi le unghie, morsicarsi le labbra, morsicare penne o matite possono arrecare danni notevoli a varie strutture dell’organismo.
Il bruxismo soprattutto di tipo grinding si manifesta nella cavità orale in vari modi. Il più rappresentativo è l'usura dei denti e le recessioni delle gengive che possono portare a un problema di sensibilità dei denti e ad un aumento di carie.
Inoltre, è stato anche dimostrato che, a lungo termine, il bruxismo può causare disturbi e dolori all’articolazione temporo-mandibolare a causa dell’aumento della pressione intrarticolare, portando a rumori articolari, come crepitii o clic e a limitazione dell'apertura della bocca. Si possono avere altresì problemi ai muscoli masticatori: queste attività parafunzionali sono azioni durante le quali viene impiegata una notevole forza. I muscoli reagiscono ipertrofizzandosi, diventando cioè rigidi e induriti con presenza di aree contratte e dolenti di notevole sofferenza (punti trigger). L’iperattività dei muscoli masticatori è frequentemente accompagnata da dolore alla mandibola, affaticamento dei muscoli facciali, male al collo, male alle orecchie, talora comparsa di acufeni e da cefalea di natura tensiva.
Il fatto di stringere continuamente i denti provoca dolore riferito ad altre zone del corpo come testa e collo.
Trattamento e possibili soluzioni
Il trattamento che proponiamo mira sia a combattere i sintomi che le possibili cause e consiste in un approccio di tipo multidisciplinare odontoiatrico-fisioterapico-psicoterapico che, a tutt’oggi, ha dato ottimi risultati nel 80/90% dei casi trattati.
Previo esame elettromiografico di superficie dei muscoli masticatori si provvede al confezionamento di una placca occlusale rimovibile ad uso notturno in materiale duro-morbido che agisce come una sorta di barriera protettiva tra le due arcate dentali, permettendo a chi le indossa di mantenere il corretto rapporto mandibolo-cranico al l’interno del proprio “range propiocettico tridimensionale occlusale”, di proteggere lo smalto dai traumi dati dallo sfregamento e sopratutto di scaricare la forza esercitata dai muscoli su di essa piuttosto che su denti e ATM, andando a riequilibrare e a rilassare in questo modo i muscoli mandibolari e cervicali
.
Durante lo stato di veglia il paziente utilizzerà invece un BDD©, una particolare miniplacca che consente di svolgere un particolare “lavoro” di biofeedback che in un periodo medio di 90/120 giorni “insegnerà” a mantenere i muscoli in condizioni fisiologiche di rilassamento. Il tutto monitorato durante il periodo di trattamento attraverso sedute di controllo e biofeedbeck elettromiografico.
Altro aiuto importante è dato da un mirato trattamento fisioterapico o osteopatico di accompagnamento volto ad accelerare il raggiungimento di una normo attività muscolare nel distretto cranio-cervico-scapolare o ad eliminare le eventuali cause di natura mio articolare, quali ad esempio le sub-lussazioni del rachide cervicale superiore in grado di determinare un’attività afferente patologica diretta verso il nucleo trigemino- cervicale, che può colpire i muscoli masseteri e temporali, causando bruxismo.
Giovano altresì tecniche di Yoga Facciale che in questo caso portano ad una distensione dei muscoli che si presentano in tensione.
Altro obiettivo fondamentale è agire sull'origine psicologica ed emotiva con trattamenti psicoterapici che si concentrano sulla riduzione dell'ansia e dello stress del paziente.
Rispetto allo stress, la relazione sembra essere ormai accertata: chi soffre di bruxismo infatti nota un aumento o la ricomparsa del disturbo maggiormente nei periodi di forte stress.
La psicoterapia, soprattutto la "Cognitivo Comportamentale", può essere un valido supporto per la prevenzione delle ricadute, per la presa di coscenza di scorrette abitudini, per la consapevolezza legata agli stati di tensione che il corpo produce e di cui spesso non ci si accorge.
Se è vero, che gli stati emotivi possono accompagnarsi a tensioni muscolari (es. serrare i muscoli masticatori), imparare a riconoscerli è di fondamentale importanza per connettersi ed essere consapevoli delle proprie sensazioni corporee e individuare quei pensieri disturbanti ed intrusivi che interferiscono con il vivere quotidiano della persona e non le permettono di stare bene.
Si tratta di un lavoro sul riconoscimento degli stati di tensione e sulle cause dello stress o dell’ansia che la persona sperimenta e che lo hanno portato a soffrire di bruxismo. Solo indagando le ragioni che sono dietro allo stress è possibile agire sui pensieri negativi automatici che la persona sperimenta e modificare così il modo di leggere il mondo e agire nelle situazioni producendo un aumento del benessere e dell’efficacia personale.
Un consiglio utile è quello di praticare la respirazione diaframmatica (con l'addome) regolarmente e soprattutto per un pò prima di dormire per favorire il rilassamento. Questi esercizi possono essere eseguiti seduti o sdraiati, nella situazione in cui è più comodo percepire il movimento del respiro.
L'obiettivo di questo esercizio è che la persona diriga l'aria inspirata verso la parte inferiore dei polmoni. Per cui una mano va posta sulla pancia e l'altra sul torace. Durante l'esercizio, si dovrebbe sentire un movimento quando si respira nella mano situata sulla pancia, ma non in quella situata sul torace.All’inizio può sembrare difficile, ma è una tecnica che si controlla in circa 15-20 minuti.
Evitare altresì abitudini come mordersi le unghie o il cappuccio della penna, masticare gomme ... che stimolano e stressano i muscoli masticatori.
Tenendo conto che nella maggior parte dei casi il bruxismo è causato da alti livelli di stress e stati d'ansia, è possibile prevenirlo con attività che aiutano a gestire e migliorare questi stati emotivi.
Qualsiasi attività fisica che pratichiamo - camminata, corsa, yoga, paddle tennis, calcio, nuoto, ciclismo, pilates, ... - ci permette di distrarci, rilassarci e rilasciare una grande quantità di energia. Dopo l'esercizio, le fasi del sonno profondo - il cosiddetto "sonno ristoratore" - aumentano e l'abitudine di stringere i denti si riduce.
Insomma, la cosa migliore che si può fare per evitare il bruxismo d'ansia è cambiare stile di vita per gestire meglio lo stress con diverse attività che ci rilassano.



















Informazioni legali e Privacy